Hospital Ángeles del Pedregal

Camino a Santa Teresa No. 1055, Consultorio 608 CP 10700, CDMX. Teléfonos: 5568-4081, 5568-2422 y 5652-6346.

Hospital San Ángel Inn Patriotismo Mixcoac

Consultorio 608, Av. Patriotismo, colonia San Juan Alcaldía Benito Juárez, CP 03730, CDMX Teléfonos: 2155-6622 y 4770-4870 ext. 5682

Correo

drcisneros@cirugiadepieytobillo.com.mx

Pie diabético: hallazgos en Diagnóstico por Imagen

http://www.tecnicosradiologia.com/2013/11/pie-diabetico-hallazgos-en-diagnostico.html

Pie diabético: hallazgos en Diagnóstico por Imagen (Documentos Descargables )

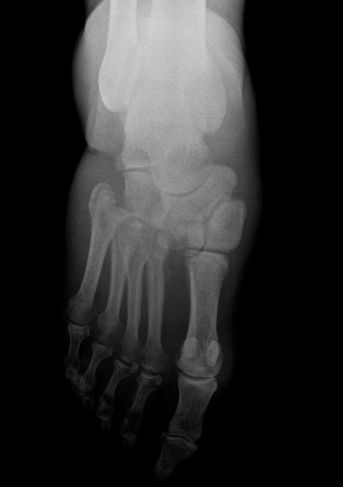
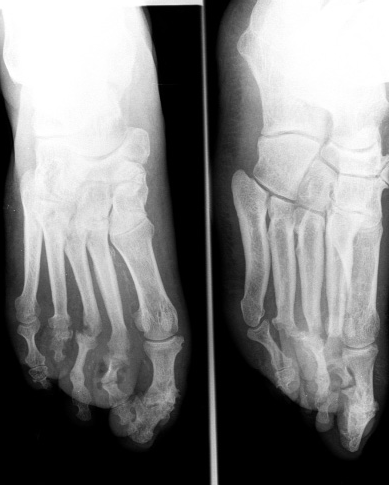
Radiografía de pie diabetico
La diabetes mal tratada y mal compensada entraña una serie de complicaciones a nivel de pie secundarias a alteraciones por afectación vascular, neurológica (neuropatía motora y sensitiva) y en casos de ulceración fácilmente colonizable con importante componente de infección.
La Radiología no es capaz de hacer Diagnóstico directo de diabetes como tal, pero el estudio radiológico a este nivel en el paciente diabético nos mostrará alteraciones tanto en partes blandas como en el tejido óseo, que son manifestación de los cambios fisiopatológicos sufridos en el pie.
Alteraciones en partes blandas
  • Aparición de cuerpo extraño
  • Existencia de gas en el espacio tisular
  • Aumento de partes blandas secundario a edema
  • Contraste con aire de la úlcera
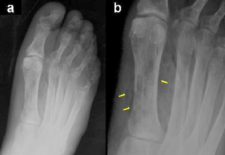
  • Calcificaciones arteriales (arteria pedia, plantar y tibial posterior)

Gas por infección en pie diabetico

Arteria pedia calcificada. Hallazgo bilareral

 Alteraciones en tejido óseo

  • Infección ósea (osteomielitis)
  • Cambios articulares y óseos neurotróficos, con atrofia, reabsorción y necrosis ósea eventualmente.
  • Osteopatía diabética
  • Neuroartropatia

Osteopatía diabética. Deformación y atrofia

RX pie diabetico. Degeneracion ósea en ante pie inferior

En la historia natural del pie diabético y formación del callo óseo intervienen, la insensibilidad del paciente a los microtraumatismos, la mala cicatrización de las heridas, la  alteración de la biomecánica del pie y la fricción en zonas concretas por la deformidad del pie, junto con el calzado inadecuado. La permanencia de ésta situación da lugar a la hipertrofia de la piel, pero esta hipertrofia no protege de la infección. Las deformidades, propiciadas por la atrofia y la neuropatía, las alteraciones articulares y el daño de tendones y ligamentos, determinan la localización del callo y la erosión cutánea:

ANTEPIE: la zona más frecuente de formación del callo es en la cabeza del 2º metatarsiano, pero también el la superficie plantar de las cabezas de los otros metatarsianos.
MEDIOPIE: se produce la deformidad “en mecedora” pudiendo formarse callo y úlcera en la superficie plantar del cuboides y en la cara dorsal de las bases de los metatarsianos subluxados.
RETROPIE: en la superficie plantar del aspecto posterior del calcáneo, en los maleolos. La ruptura del callo da lugar a la ulceración focal.

Por lo tanto, las úlceras se localizan en las áreas de mayor presión durante la deambulación y los microtraumatismos repetidos, siendo más prevalentes en las cabezas de primero y quinto metatarsianos, superficie plantar del segundo y tercer metatarsiano y superficie dorsal de los dedos; en el retropie, en el aspecto posterior del calcáneo y en el maleolo medial y lateral.

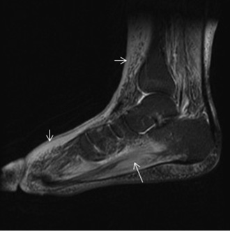
Resonancia Magnetica. Alteración de partes blandas en pie diabetico

Resonancia Magnética
La Resonancia Magnética puede, por sí sola, demostrar con alta certeza si el proceso de infección está limitado a los tejidos blandos o se extendió al hueso.
Los callos óseos plantares tienen una presentación característica por resonancia magnética. Cuando se detectan cambios en el brillo de las imágenes hay que sospechar una infección local. A veces el examen clínico del pie no puede identificar la profundidad del proceso infeccioso, y es allí cuando un examen de resonancia es de extrema utilidad.

Resonancia de ulceración en pie diabetico

La progresión de una úlcera infectada si no se trata en forma agresiva, puede dar lugar a una celulitis severa y complicarse con infección del hueso o de las articulaciones del pie.

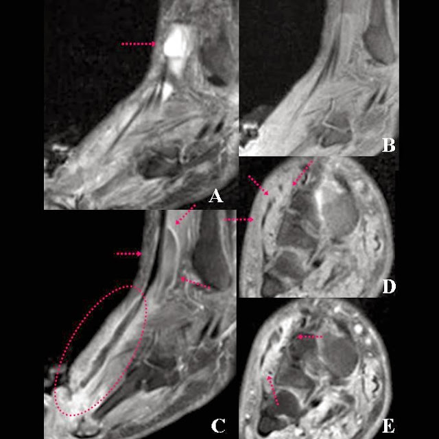
Los tendones no son una vía común de diseminación de las infecciones. De tal manera puede encontraste en la Resonancia un engrosamiento y acumulación de líquido en las vainas de los tendones. Luego de administrar agente de contraste las membranas sinoviales inflamadas suelen realzar en forma evidente.

Cuando la osteomielitis (infección ósea) es de evolución crónica, suele ser un proceso más indolente que se manifiesta característicamente por heridas del pie diabético que no terminar de curar correctamente con los tratamientos comunes a través del tiempo.

En estos casos es indicativa la Resonancia Magnética porque puede demostrar con alta certeza si el proceso está limitado a los tejidos blandos o se extendió al hueso. En aquellos casos que requieren amputación como última salida terapéutica, la Resonancia es una herramienta imprescindible para la planificación quirúrgica, aclarando los límites de resección en la cirugía y facilitar el plan quirúrgico previo a una amputación para realizar una cirugía  lo más conservadora posible a la vez que exhaustiva.

Tenosinovitis infecciosa. Imagen de Resonancia Magnética

Referencias: