VIERNES, 8 DE NOVIEMBRE DE 2013
Pie diabético: hallazgos en Diagnóstico por Imagen (Documentos Descargables)
![]() |
| Radiografía de pie diabetico |
- Aparición de cuerpo extraño
- Existencia de gas en el espacio tisular
- Aumento de partes blandas secundario a edema
- Contraste con aire de la úlcera
- Calcificaciones arteriales (arteria pedia, plantar y tibial posterior)
![]() |
| Gas por infección en pie diabetico |
![]() |
| Arteria pedia calcificada. Hallazgo bilareral |
Alteraciones en tejido óseo
- Infección ósea (osteomielitis)
- Cambios articulares y óseos neurotróficos, con atrofia, reabsorción y necrosis ósea eventualmente.
- Osteopatía diabética
- Neuroartropatia
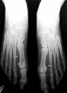
![]() |
| Osteopatía diabética. Deformación y atrofia |
![]() |
| RX pie diabetico. Degeneracion ósea en ante pie inferior |
En la historia natural del pie diabético y formación del callo óseo intervienen, la insensibilidad del paciente a los microtraumatismos, la mala cicatrización de las heridas, la alteración de la biomecánica del pie y la fricción en zonas concretas por la deformidad del pie, junto con el calzado inadecuado. La permanencia de ésta situación da lugar a la hipertrofia de la piel, pero esta hipertrofia no protege de la infección. Las deformidades, propiciadas por la atrofia y la neuropatía, las alteraciones articulares y el daño de tendones y ligamentos, determinan la localización del callo y la erosión cutánea:
ANTEPIE: la zona más frecuente de formación del callo es en la cabeza del 2º metatarsiano, pero también el la superficie plantar de las cabezas de los otros metatarsianos.
MEDIOPIE: se produce la deformidad “en mecedora” pudiendo formarse callo y úlcera en la superficie plantar del cuboides y en la cara dorsal de las bases de los metatarsianos subluxados.
RETROPIE: en la superficie plantar del aspecto posterior del calcáneo, en los maleolos. La ruptura del callo da lugar a la ulceración focal.
Por lo tanto, las úlceras se localizan en las áreas de mayor presión durante la deambulación y los microtraumatismos repetidos, siendo más prevalentes en las cabezas de primero y quinto metatarsianos, superficie plantar del segundo y tercer metatarsiano y superficie dorsal de los dedos; en el retropie, en el aspecto posterior del calcáneo y en el maleolo medial y lateral.
![]() |
| Resonancia Magnetica. Alteración de partes blandas en pie diabetico |
Resonancia Magnética
La Resonancia Magnética puede, por sí sola, demostrar con alta certeza si el proceso de infección está limitado a los tejidos blandos o se extendió al hueso.
Los callos óseos plantares tienen una presentación característica por resonancia magnética. Cuando se detectan cambios en el brillo de las imágenes hay que sospechar una infección local. A veces el examen clínico del pie no puede identificar la profundidad del proceso infeccioso, y es allí cuando un examen de resonancia es de extrema utilidad.
![]() |
| Resonancia de ulceración en pie diabetico |
La progresión de una úlcera infectada si no se trata en forma agresiva, puede dar lugar a una celulitis severa y complicarse con infección del hueso o de las articulaciones del pie.
Los tendones no son una vía común de diseminación de las infecciones. De tal manera puede encontraste en la Resonancia un engrosamiento y acumulación de líquido en las vainas de los tendones. Luego de administrar agente de contraste las membranas sinoviales inflamadas suelen realzar en forma evidente.
Cuando la osteomielitis (infección ósea) es de evolución crónica, suele ser un proceso más indolente que se manifiesta característicamente por heridas del pie diabético que no terminar de curar correctamente con los tratamientos comunes a través del tiempo.
En estos casos es indicativa la Resonancia Magnética porque puede demostrar con alta certeza si el proceso está limitado a los tejidos blandos o se extendió al hueso. En aquellos casos que requieren amputación como última salida terapéutica, la Resonancia es una herramienta imprescindible para la planificación quirúrgica, aclarando los límites de resección en la cirugía y facilitar el plan quirúrgico previo a una amputación para realizar una cirugía lo más conservadora posible a la vez que exhaustiva.
![]() |
| Tenosinovitis infecciosa. Imagen de Resonancia Magnética |
Referencias:
- Diagnóstico radiológico de pie diabético (Descargable). Por Enrique Calvo, Fernando Ortiz, Marcela Torres, Ludovic Reveiz. (Instituto de Investigaciones Clínicas de la Facultad de Medicina de la Universidad Nacional de Colombia)
- Infección de Pié Diabético: Hallazgos principales por RM (Descargable). Por Juan Mazzuco. Médico Radiólogo Universitario, Director Médico del Grupo Argus Diagnóstico Médico, Director de sede enseñanza de la Carrera de Médicos especialistas en Diagnóstico por imágenes (Sociedad Argentina de Radiología y UBA) y Secretario General de la Sociedad Argentina de Radiología.
- Informe Completo de la SERAM (2008) sobre el Diagnóstico por Imagen del Pie Diabético
- Hallazgos en RM en el pie diabético. ¿Cuándo existe infección ósea? (SERAM 2006)
- Pie diabético: hallazgos por resonancia magnética
- Diabetic Foot (clinical key. Elsevier)







