CIRUGIA DEL PIE. Traumatólogo Dr. Jorge de las Heras |
|
Posted: 12 Dec 2013 05:22 AM PST
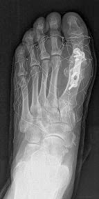
En este nuevo post os quería mostrar otro caso de Hallux Rigidus que se me ha presentado y que he operado con éxito. Lleva 1 mes de evolución y de momento no hay complicaciones. Se trata de un paciente anciano y dado el grado de artrosis y su edad lo indicado es la artrodesis (fusión de la articulación) y es lo que realicé.
Actualmente está si dolor apenas aunque todavía es pronto para darle el alta definitiva. La ventaja de este material es que al llevar tornillos bloqueados a la placa dan mucha mayor estabilidad y se le puede permitir al paciente el apoyo del pie desde el principio, siendo la recuperación mucho más rápida por tanto. La he remitido a Rehabilitación para ganar movilidad y queda por tanto pendiente de nueva revisión con Radiografías de control. Estas son las Radiografías antes y después de la cirugía: |

